Auf einen Blick
Inhaltsverzeichnis
Bezeichnung: Differentialblutbild
Ähnliche Tests: Blutbild, CBC

Was ist das Differentialblutbild?
Pixabay / frolicsomepl
Warum wird ein Differentialblutbild durchgeführt?
Der Test wird eingesetzt, um sich ein besseres Bild über die Ursache von Krankheiten zu machen, die das Immunsystem allgemein oder konkret die weißen Blutkörperchen betreffen, z.B. bei Infektionen oder Leukämien.
Bei welchen Erkrankungen sollte ein Differentialblutbild bestimmt werden?
Der Test wird meist dann als Ergänzung zum kleinen Blutbild angefordert, wenn dieses verändert ist oder primär ein Verdacht auf eine bestimmte Krankheit besteht (Entzündungen, Infektionen, Immundefekte, Bluterkrankungen, Medikamentennebenwirkungen).
Aus welchem Probenmaterial wird der Test durchgeführt?
Aus einer Blutprobe einer Armvene oder einem Blutstropfen aus dem Finger (Kinder und Erwachsene) oder der Ferse (Neugeborene).
Table of Contents
Das Differentialblutbild
Was wird beim Differentialblutbild untersucht?
Das Differentialblutbild wird als Ergänzung zum kleinen Blutbild durchgeführt und beides zusammen wird als großes Blutbild bezeichnet. In der Regel wird heute ein maschinelles Differentialblutbild erstellt, was eine präzise Zählung erlaubt (Konzentrationsbestimmung).
Eine mikroskopische Differenzierung der weißen Blutzellen in einem gefärbten Blutausstrich hingegen kann unter Umständen detailliertere Auskünfte geben und die Ursachen von Abweichungen von der Normalität gegebenenfalls besser erklären.
Bei auffälligen maschinellen Ergebnissen sollte daher zusätzlich eine manuelle Differenzierung der Leukozyten erfolgen.
Es gibt fünf unterschiedliche Typen weißer Blutzellen (Leukozyten), die unterschiedliche Funktionen erfüllen:
- Neutrophile Granulozyten,
- Eosinophile Granulozyten,
- Basophile Granulozyten,
- Monozyten und
- Lymphozyten.
Die genauere Unterscheidung dieser Zellen im Differentialblutbild legt offen, ob eine Gruppe mengenmäßig zu hoch oder zu niedrig ist und ob sich unreife Vorstufen dieser Zellen im Blut befinden. Diese Information ist wichtig, um bestimmte Erkrankungen des Immunsystems zu diagnostizieren oder den Verlauf von Entzündungen beurteilen zu können.
Weiße Blutkörperchen werden im Knochenmark und z.T. in der Thymusdrüse produziert (T-Lymphozyten). Letztere sind ein wichtiger Teil des Immunsystems und schützen den Körper vor Krankheiten. Wenn sich ein Mensch mit Krankheitserregern wie Bakterien oder Viren infiziert, werden diese von den Zellen selbst bekämpft oder die von ihnen produzierten Wirkstoffe töten die Erreger ab.
Aus einer Blutprobe einer Armvene oder einem Blutstropfen aus dem Finger (Kinder & Erwachsene) oder der Ferse (Neugeborene).
Der Test
Wie wird der Test eingesetzt?

Leukozyten
Pixabay / skeeze
Im Differentialblutbild wird die Zusammensetzung der zellulären Bestandteile und deren Verhältnis zum Plasma dargestellt. Hier können quantitative (mengenmäßige) und qualitative Veränderungen von Zellen, z.B. Anämien, Leukämien festgestellt werden.
Außerdem kann anhand der Leukozytenzahl und Zusammensetzung die Fähigkeit eines Patienten abgeschätzt werden, auf eine Infektions-Krankheit zu reagieren und diese zu bekämpfen. Darüber hinaus kann damit erfasst werden, ob das Immunsystem auf Allergene, Parasiten und andere Infektionserreger und auf Medikamente reagieren könnte. Ferner können damit verschiedene Leukämie-Arten und -Stadien bestimmt werden.
Wann könnte der Test sinnvoll sein?
Der Test wird meist als Ergänzung zum kleinen Blutbild angefordert, wenn dieses auffällig ist oder ein Verdacht auf eine bestimmte Krankheit erhärtet werden soll (s.o.).
Das Testergebnis
Was bedeutet das Testergebnis?
Das Differentialblutbild gibt die Konzentration der verschiedenen weißen Blutkörperchen sowie ihr Verhältnis in Prozent an.
Neutrophile erhöhen ihre Zahl natürlicherweise als Antwort auf bakterielle Infektionen oder Entzündungen. Krankhafte Erhöhungen treten außerdem bei bestimmten Knochenmarkserkrankungen auf, wie bei der chronisch myeolischen Leukämie.
Wenn die Neutrophilen-Zahl deutlich erniedrigt ist, kann die Ursache eine schwere Entzündung sein (starker Verbrauch dieser Zellen) oder die Einnahme bestimmter Medikamente. Unterhalb einer gewissen Konzentration besteht Lebensgefahr.
Eosinophile steigen zahlenmäßig bei chronisch allergischen Erkrankungen, Entzündungen der Haut und bei einer Parasiten-Infektion, außerdem bei bestimmten anderen Infektionen und Malignomen sowie bei manchen Knochenmarkserkrankungen.
Basophile können bei chronischen Knochemarkserkrankungen (z.B. Leukämien), chronischen Entzündungen, Überempfindlichkeitsreaktionen gegen Lebensmittel oder nach Strahlentherapie vermehrt auftreten.
Monozyten können bei den verschiedensten Infektionskrankheiten vermehrt sein, v.a. bei Tuberkulose, Lues (Syphilis) und Endokarditis (Herzinnenhautentzündung), außerdem bei Entzündungsreaktionen sowie in der Erholungsphase bakterieller Erkrankungen.
Eine chronisch erhöhte und ansteigende Zahl an Monozyten kann ein Hinweis auf bestimmte Leukämie-Arten sein. Eine erniedrigte Zahl an Monozyten tritt bei schweren bakteriellen Infektionen, sowie ebenfalls bei einigen Leukämieformen auf.
In der ersten Phase eines Infektes kann die Lymphozytenzahl zunächst sinken, ebenfalls erniedrigte Werte finden sich bei systemischenImmunerkrankungen, wie beim Lupus erythematodes oder einer fortgeschrittenen hiv-Infektion.
Bei verschiedenen Infektionen, insbesondere auch bei bestimmten Viren kann es bei einer Infektion auch zu einer Verminderung der Leukozyten kommen.
Wissenswertes
Gibt es weiteres, das ich wissen sollte?
Körperliche Betätigung und Stress können die Differentialblut-Werte der weißen Blutkörperchen verändern.
Wurden bestimmte Medikamente, v.a. Steroide (Cortison) längere Zeit eingenommen oder bestand ein vermehrter Kontakt zu giftigen Chemikalien (z.B. Insektizide oder Laugen), besteht ein erhöhtes Risiko, dass das Differentialblutbild abnormal verändert ist.
Da es viele Ursachen für eine Veränderung des Differentialblutbildes gibt, ist zur Interpretation eine Betrachtung aller Befunde notwendig.
Hinweise & Störungen
Stabilität und Probentransport
Die Probe muss ungerinnbar gemacht sein in der Regel (EDTA-Vollblut) und ist max. 6-8 Stunden bei Raumtemperatur haltbar, nach 12-24 h kann es bereits zu Verände-rungen und Artefakten (v.a. durch Zerfall der Granulozyten) kommen.
Referenzbereich
| Neutrophile Granulozyten | 1800 – 7500 /µl |
| Eosinophile Granulozyten | 50 – 750 /µl |
| Basophile Granulozyten | 0 – 150 /µl |
| Lymphozyten | 1200 – 3500 /µl |
| Monozyten | 200 – 800 /µl |
Störfaktoren und Hinweise auf Besonderheiten
Es gibt eine maschinelle Bestimmung durch Hämatologieautomaten und eine manuelle durch das Mikroskop. Beide haben Vor- und Nachteile und ergänzen einander.
Häufige Fragen (FAQ)
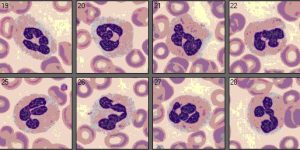
1.) Welche genauen Funktionen haben die einzelnen Leukozyten-Gattungen?
Neutrophile sind die häufigsten weißen Blutzellen, sie „fressen“ durch Antikörper und Komplement beschichtete Infektions-Erreger wie Bakterien und Pilze und steigen zahlenmäßig in Folge solcher Infektionen an.

Achtsegmentkernige neutrophile Granulozyten
Lymphozyten sind spezialisierte Abwehrzellen, welche entweder eine regulatorische Funktion in der Immunreaktion haben oder gezielt krankhafte Zellen abtöten (zytotoxische Zellen) oder Antikörper produzieren (Plasmazellen).
Monozyten sind eine weitere Gattung von Fresszellen, ebenso wie die Neutrophilen.
Eosinophile steigen bei allergischen Reaktionen und Parasitenbefall an.
Basophile spielen bei der allergischen Sofortreaktionen eine Rolle. Sie steigen zahlenmäßig aber nur bei bestimmten Bluterkrankungen oder Vergiftungen an.
2.) Gibt es von Labor zu Labor abweichende Bezeichnungen für bestimmte Zellen im Differentialblutbild?
Neutrophile Granulozyten werden manchmal nur als Granulozyten bezeichnet, ferner zur Unterscheidung von älteren oder jüngeren Zellen nach mikroskopischer Betrachtung als unreife Stabkernige oder reife Segmentkernige. Die Vermehrung von Vorstufen wird auch als Linksverschiebung bezeichnet.